组蛋白甲基转移酶 SETD2 抑制前列腺癌转移机制
在此前的推文中,我们介绍过组蛋白甲基化,干货归干货,今天,小编带大家一起看大牛发表的组蛋白甲基转移酶相关研究,进入“实战”!
近日,中国科学院上海营养与健康研究所秦骏课题组与陆军军医大学大坪医院江军主任、南京医科大学王晓明教授的合作在 Cancer Cell 在线发表了题为 “SETD2 Restricts Prostate Cancer Metastasis by Integrating EZH2 and AMPK Signaling Pathways” 的研究,揭示了 H3K36 甲基转移酶 SETD2 通过底物 EZH 限制前列腺癌的转移的分子机制。

图 1. 文章概要图
EZH2:负责 H3K27me3 修饰的组蛋白甲基转移酶。H3K27me3 的修饰使基因沉默,使细胞获得侵袭性特征。
SETD2:催化 H3K36me3 的主要甲基转移酶。SETD2 通过组蛋白 H3K36 的甲基化来调节基因组不稳定性、RNA 加工和基因内转录起始。

图 2. 文章亮点
SETD2 在限制前列腺癌发展中发挥重要作用
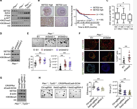
为了探索 SETD2 在前列腺癌 (Prostate cancer, PCa) 的潜在重要性,H3K36me3/SETD2 和 H3K27me3/EZH2 的抑癌基因 Pten 缺失小鼠或同时缺失抑癌基因 Trp53 小鼠对比 (Pten-/- vs Pten-/-;Trp53-/-) ,H3K27me3 和 EZH2 水平与小鼠肿瘤进展呈正相关,且同时缺失的表达量更高。重要的是,H3K36me3/SETD2 和 H3K27me3/EZH2 在小鼠前列腺组织中是互斥的。进一步地,通过 qRT-PCR 检查前列腺肿瘤中 SETD2 表达,公共数据集分析 SETD2 表达与疾病复发关联性,以及类器官 SETD2 沉默与过表达实验,综合表明 SETD2 在限制 PCa 进展中发挥重要作用。

图 3. SETD2 在限制 PCa 的发展中发挥重要作用
另外,前列腺上皮 SETD2 缺失的小鼠病变情况观察结果表明,仅 Setd2 基因丢失不足以驱动 PCa。对比 Pten+/- 与 Pten+/- ;Setd2-/- 中前列腺肿瘤发展情况,结果表明:Pten 基因缺失时, SETD2 的失活促进前列腺癌转移。
SETD2 缺失诱导的 PCa 转移依赖 EZH2 活性的增加
Pten+/- 和 Pten+/-;Setd2-/- 类器官转录组分析发现,与 EZH2 和 H3K27me3 信号转导相关的特征显着丰富,通过 qRT-PCR、组织学和 ChIP-seq 等实验分析 SETD2 缺失与 EZH2 蛋白和 H3K27m3 水平的关联性,综合表明 SETD2 缺失导致 EZH2 表达上调,H3K27me3 水平的升高,诱导了多梳抑制染色质状态。

图 4. SETD2 缺失通过 EZH2 上调加剧了 PCa 进程
临床 PCa 样本的 SETD2 与 EZH2 的表达量对比分析显示:SETD2 与 EZH2 的表达呈反比关系。
为了确定 Setd2 基因丢失是否通过 EZH2 上调促进了前列腺癌的发生,通过 Setd2 敲除/不敲除的 Pten+/- 类器官中敲降 EZH2 或 EED/EZH2 抑制剂处理,以及 Pten+/-;Setd2-/- 小鼠中 Ezh2 缺失的肿瘤进展的观察 (MRI 和组织学分析) 和 SETD2 调控的基因表达分析,结果表明:Setd2 基因的丢失以 EZH2 依赖性的方式加速了前列腺肿瘤的发生。
SETD2 介导的 K735me1 促进 EZH2 降解
体外实验发现,SETD2 在 K735 残基处 (EZH2 K735 位点) 直接甲基化 EZH2。然而,进一步的研究发现,K735、K510、K514 和 K515 的甲基化可能受独立机制调控。Smurf2 是靶向 EZH2 降解的 E3 连接酶,能有效调节 EZH2 的稳定性。K735me1导致 EZH2 破坏的机制是:SETD2 诱导的 K735me1 促进了 Smurf2 E3 连接酶对 EZH2 降解的识别。
EZH2-K735me1 对 PCa 进展很重要
在带有纯合 K735R 敲入突变体 (Ezh2K735R) 小鼠中,通过组织 IHC、Setd2 敲降器官中指定蛋白质 IB 分析等表明,EZH2-K735me1 的缺失会增强 PCa 细胞进化为转移性 PCa 的能力。重要的是,SETD2 的敲降/过表达对来源 Pten-/-;Ezh2K735R 小鼠器官的生长都没有影响。此外,源于 2 个月大的 Pten-/- 与 Pten-/-;Ezh2K735R 小鼠器官转录组对比,与 H3K27me3 信号相关的 signature 显著富集,且在 Pten-/-;Ezh2K735R 细胞中,大约 60% 的 EZH2 依赖性 SETD2 的 signature 下调。总的来说,SETD2 的抑癌功能在很大程度上取决于它对 EZH2 的甲基化。

图 5. 甲基化缺陷 Ezh2 促进小鼠 PCa 转移
SETD2-R1523H 突变通过 EZH2 增强肿瘤发生
通过 cBioPortal 数据库 SETD2 复发突变分析,SETD2 在肿瘤中存在 R1523H 热点突变位点。结合已有报道,研究人员推测 R1523 残基在与 EZH2 相互作用中起作用。研究发现,R1523H 突变以不改变 H3K36me3 修饰的方式促进肿瘤进展。通过细胞实验、SETD2-EZH2 docking 结构分析和点突变,证实了 SETD2-R1523 是识别 EZH2 的决定性氨基酸。
在肿瘤模型中,过表达 SETD2-F2 的细胞显示出比 WT 细胞低得多的致瘤效力。与此相反,SETD2-F2-R1523H 和 SETD2-F2-R1625G 均未抑制肿瘤进展。利用 CRISPR/Cas9 技术产生 SETD2-R1497H 突变的小鼠 Pten 缺陷型类器官细胞,类器官生长加速,EZH2 升高,EZH2 靶标降低。重要的是,EZH2 的损耗缓解了类器官的生长。体内实验结果与体外实验结果一致。
AMPK-FOXO3 轴刺激 SETD2 水平
利用 AMPK 激活剂 A-769662 (AICAR) 或 2-Deoxy-D-glucose (AICAR, 2-DG 购自 MedChemExpress) 处理 PCa 细胞,结果发现 SETD2 表达受 AMPK 的正向调控。
FOXO3 结合位点的突变减弱了 SETD2 启动子的活性,AMPK 信号在 FOXO3 会聚以刺激 SETD2 表达,与局灶性肿瘤相比,转移性 PCa 中的 SETD2、K735me1、p-AMPK 和 p-FOXO3 水平显着降低。因此,AMPK 以 FOXO3 依赖性方式调节 SETD2 表达。

图 6. AMPK-FOXO3 轴介导的 SETD2 表达调节 EZH2-K735me1
AMPK 激动剂二甲双胍 (Metformin 购自 MedChemExpress) 处理前列腺癌细胞实验的结果表明,AMPK 介导的 EZH2 磷酸化和 SETD2 的表达影响 EZH2 活性/水平。在体内,二甲双胍的处理减少了 Pten 缺失细胞引起的肿瘤生长。总的来说,SETD2-EZH2 轴整合了代谢能感应和肿瘤发生。

2020-07-23
MCE小分子

