MCE怎么样?BCX-1777产品被Cell 期刊引用
频繁的急性情绪反应(慢性应激)会增加患抑郁症和焦虑症的风险,还可能导致免疫,代谢和心血管系统疾病。近期,顶级周刊 Cell 上发表的文章《Stress-Induced Metabolic Disorder in Peripheral CD4+ T Cells Leads to Anxiety-like Behavior》表明,频繁应激通过扰乱外周 CD4+ T 细胞代谢导致焦虑、抑郁样行为,增加患焦虑症、抑郁症的风险。
作者团队发现,缺乏 CD4+ T 细胞能保护小鼠免受应激诱导的焦虑样行为,物理应激诱导的白三烯 B4 (LTB4) 触发 CD4+ T 细胞中的严重线粒体裂变,进而导致各种行为异常,包括焦虑,抑郁和社交障碍。代谢组和单细胞转录组学显示,CD4+ T 细胞衍生的黄嘌呤通过腺苷受体 A1 作用于左侧杏仁核的少突胶质细胞。线粒体裂变通过 CD4+ T 细胞中干扰素调节因子 1 (IRF-1) 的积累促进嘌呤从头合成。
一只很焦虑的小鼠


CD4+ T 细胞 & 应激诱导的焦虑行为
通过野生型 (WT) 或重组激活基因 1 Rag1-/- 小鼠暴露于电子足部电击 (ES) 诱导了焦虑小鼠模型。免疫缺陷的 Rag1-/- 小鼠在开放场试验 (OFT) 中对探索中心区域和运动的兴趣并没有降低,只有去除 CD4+ T 细胞才能显著逆转焦虑样行为。此外,慢性 ES 诱导的焦虑样行为也需要 CD4+ T 细胞。而 CD4+ T 细胞缺乏也会阻止经急性束缚应激 (RS) 处理的小鼠发展为焦虑症,这表明 CD4+ T 细胞对物理应激诱导的焦虑样行为具有广泛的影响。将 ES 诱导的小鼠的脾 CD4+ T 细胞过继转移到 Rag1-/- 小鼠中,在 OFT 中出现焦虑样行为,且幼稚 CD4+ T 细胞引起的焦虑更为严重。

图1. CD4+T 细胞在应激诱导的焦虑样行为中起重要作用
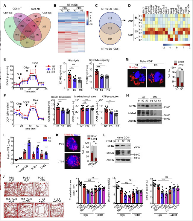
应激诱导外周 CD4+T 细胞线粒体裂变
RNA 转录组测序发现,ES 诱导的 CD4+ T 细胞中的大量特异性差异表达基因 (DEG) 编码线粒体蛋白。另外,用 ES 和 RS 处理的幼稚 CD4+ T 细胞均表现出糖酵解和氧化磷酸化 (OXPHOS) 水平显著降低的现象。经 ES 处理的幼稚 CD4+ T 细胞主要表现为点状线粒体,介导线粒体融合的外膜蛋白 (包括 MFN2 和 MIGA2) 显着减少。总之,在压力下的 CD4+ T 细胞表现出异常的线粒体形态和代谢功能障碍。此外,应激诱导的 LTB4 触发小鼠外周 CD4+ T 细胞的线粒体裂变和焦虑发作,但潜在机制仍有待进一步研究。

图 2. 应激导致 CD4+ T 细胞代谢紊乱和线粒体裂变
在 Mitoguardin2 KO (Miga2 -/-) 小鼠中,幼稚 CD4+ T 细胞中观察到了高度破碎的线粒体,分散在 Miga2 -/- 小鼠幼稚 CD4+ T 细胞的细胞质中,且行为学实验表明这些小鼠患有严重的抑郁症,而去除 CD4+ T 细胞使连续线粒体分裂引起的焦虑症状治愈。通过将 Miga2 缺失的幼稚 CD4+ T 细胞过继转移到受体 Rag1-/- 小鼠进一步证实了这些细胞在焦虑中的重要作用。Miga2 T 细胞条件性敲除 (Miga2 TKO ) 小鼠以及 Mfn1 和 Mfn2 T 细胞条件性双 KO (Mfn1/2 TKO ) 小鼠实验表明,是线粒体形态破坏促进了焦虑行为,而不是 CD4+ T 细胞中某些特定功能的线粒体蛋白。

图 3. CD4+ T 细胞中的线粒体持续分裂诱导焦虑样行为
T 细胞连续线粒体裂变致嘌呤代谢紊乱
Miga2TKO小鼠的代谢组学特征与野生同窝小鼠不同,且大多数嘌呤及其衍生物(包括腺嘌呤,次黄嘌呤和黄嘌呤)的含量也高出 10-100 倍。移除 CD4+ T 细胞后,Miga2TKO 小鼠的血清黄嘌呤浓度显着降低。在焦虑症患者以及两个啮齿动物焦虑模型和 ES CD4+ T 细胞过继转移的受体 Rag1-/- 小鼠中,血清黄嘌呤的丰度也增加了。另外,幼稚 CD4+ T 细胞产生的黄嘌呤水平高于效应 T 细胞。通过将合成的黄嘌呤或腺苷注射到 WT 小鼠中,发现黄嘌呤、腺嘌呤和腺嘌呤阿拉伯糖苷单磷酸酯 (Ara-AMP) 都具有触发焦虑样行为的能力。BCX-1777 (购于 MedChemExpress) 作为嘌呤核苷磷酸化酶 (PNP) 抑制剂,显着降低了 Miga2TKO 和 ES 小鼠的焦虑症状和其血清中黄嘌呤浓度。总之,由病理性 CD4+ T 细胞引起的过量黄嘌呤在焦虑发作中起关键作用。

图 4. CD4+T 细胞中的线粒体裂变导致血清嘌呤的系统性增加
黄嘌呤作用于左侧杏仁核少突胶质细胞
通过对 Miga2TKO 小鼠的组织学分析显示,Miga2TKO 小鼠的左杏仁核明显更大,并且显示出更高数量的非神经元细胞。单细胞 RNA 测序发现,腺嘌呤和黄嘌呤通过四种受体亚型 (A1, A2A, A2B, A3) 启动生理功能。由于神经元上腺苷受体的缺陷,作者团队分析了 WT,Miga2 -/- 和经 anti-CD4 (αCD4) 处理的 Miga2 -/- 小鼠的杏仁核中每个非神经元细胞的转录组,结果表明黄嘌呤直接触发少突胶质细胞的增殖。特异性地敲降左杏仁核少突胶质细胞的 A1受体,Miga2 -/- 小鼠焦虑样症状消失。总之,由 Miga2 -/- T 细胞引起的过量黄嘌呤通过左杏仁核中的 A1 受体作用于少突胶质细胞,并促进焦虑样行为。

图 5. CD4+ T 细胞衍生的黄嘌呤通过 Ador A1 作用于杏仁核的少突胶质细胞
线粒体裂变促进黄嘌呤在 CD4 + T 细胞中从头合成
Miga2TKO 以及 Mfn1/2 TKO小鼠的 CD4+ T 细胞的 OXPHOS 和糖酵解活性显着降低。Miga2 缺陷的幼稚 CD4+ T 细胞的糖酵解水平较低,但产生更多的M+5核糖5-p (R-5-P),CAIR,腺苷和肌苷,表明当线粒体形态从融合转变为裂变时,葡萄糖流向戊糖磷酸途径 (PPP) 进行从头嘌呤合成。2- 脱氧 -D- 葡萄糖 (2-DG) 可以使 Miga2TKO 小鼠的左杏仁核的焦虑样症状和病理特征正常化。Miga2 -/- CD4+ T 细胞转录组分析显示,几种与糖酵解和脂肪酸 β- 氧化途径相关的关键酶的表达降低,而嘌呤合成所需的分子增加,例如例如己糖激酶 3 (Hk3),腺苷脱氨酶 (Ada),嘌呤核苷磷酸化酶2 (Pnp2) 和黄嘌呤氧化酶/黄嘌呤脱氢酶 (Xdh)。此外,这些基因的 mRNA 和蛋白质水平升高,与相关代谢产物的积累相一致。PNP2 也起调节嘌呤代谢途径和黄嘌呤产生的酶的作用。在体外,Pnp2 缺乏使 Miga2 -/- T 细胞的黄嘌呤过度生产正常化,过继转移到 Rag1-/- 小鼠后,Pnp2-/- Miga2-/- CD4+ T 细胞没有 Miga2-/- CD4+ T 细胞诱导的焦虑症状强烈。因此,CD4+ T 细胞衍生的过量黄嘌呤直接引起焦虑样行为。

图 6. CD4T 细胞中线粒体裂变促进嘌呤从头合成途径
线粒体裂变通过促进 IRF-1 积累,导致黄嘌呤过量
干扰素调节因子-1 (IRF-1) 是一种转录因子,参与各种细胞过程,包括细胞增殖,分化,凋亡和免疫调节。ES 引起 IRF-1 在 CD4+ T 细胞中的严重积累,Miga2 的缺乏也引发了 CD4+ T 细胞中 IRF-1 大量聚集,且在 Ada、Pnp2 和 Xdh 的 TSSs 的某些结合位点显著富集。IRF-1 缺乏使 Miga2 缺乏的 CD4+ T 细胞中 Ada 和 Xdh 的 mRNA 和蛋白质水平均正常化,且使 Miga2TKO 小鼠焦虑样表型得到很大程度恢复。综上,CD4+ T 细胞中的 IRF-1 在线粒体裂变介导的嘌呤合成和焦虑症状中起着至关重要的作用。

图 7. 积累的 IRF-1 控制 CD4+ T 细胞中的嘌呤合成和焦虑样行为
相关产品:
Forodesine hydrochloride (BCX-1777) 是一种高效且特异性的嘌呤核苷磷酸化酶 (PNP) 抑制剂,可通过提高 dGTP 水平来诱导慢性淋巴细胞白血病患者的白血病细胞凋亡。

2019-11-22
MCE小分子

