细胞实验时能区分是细胞污染还是药物析出吗
“哪里有细胞培养哪里可能就有细胞污染”,今天我们就好好唠唠令人头疼的细胞污染。
细胞培养 (Cell culture) 也叫细胞克隆技术,是指在体外模拟体内环境,使之生存、生长、繁殖并维持主要结构和功能的一种方法。细胞培养是细胞和分子生物学中使用的关键工具,可以对细胞的生理学和生物化学进行建模,是生命科学研究中常用的研究手段

图 1. 人输卵管组织原代细胞培养
关于细胞污染
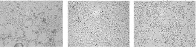
要想拥有一株健康的细胞,主打 8 个字 “悉心照料,小心呵护”;它就是你实验生涯中的 “爱宝”。尽管爱护备至,抛开丝滑的无菌操作技术,污染的因素还是防不胜防:细胞复苏过程的水浴,细胞培养箱层,水盘,培养箱柜门,包括各种实验仪器的盖子周围,这些都可能会为污染带来风险。如下图,不知受何因素污染的细胞和正常的细胞形态和状态有着鲜明的对比。细胞污染的种类一般可分成细菌、真菌,支原体污染等。

图2 正常细胞与污染的细胞
细菌污染
细菌污染是细胞培养中最常见的污染,常见的有枯草杆菌、大肠杆菌、分歧杆菌以及葡萄球菌污染等。它们的污染肉眼可见:细胞培养基还会随着细菌负荷的增加,变得浑浊,含有 pH 值指示物 (如中性或酚红) 的培养液会因细菌污染而酸化 (即变得更黄)。大多细菌在显微镜下观察呈现杆状和颗粒状形态,并且可以移动,光学显微镜下也可以观察到,例如下图细胞培养中分枝杆菌污染导致漂浮的团块。

图 3. 分歧杆菌污染的细胞
真菌污染
真菌污染,比如霉菌污染和酵母菌污染等。一般受真菌污染的细胞,培养液是清亮的,但会出现絮状杂质,显微镜下观察道细丝状结构,可看到明显的菌丝,酵母可能表现为非常小的圆形细胞(单链或短链),还可能出现出芽。污染不严重的情况下细胞仍可生长,但受污染细胞的活力状态明显变差。

图 4. 酵母,青霉素等在光学显微镜下的外观
MCE 小贴士:
用于细胞培养的器皿和培养液都需要严格无菌。若实验过程中所需的药物不建议被高温高压和辐照杀菌, 建议使用 0.22 μm 的滤膜过滤除菌,可有效避免真菌和细菌污染。
针对细菌污染,在培养基中,加入青霉素-链霉素双抗,庆大霉素,氨苄青霉素或者卡那霉素等抗生素进行处理,可有效抑制多数革兰氏阳性菌和革兰氏阴性菌的生长,从而有效控制细胞污染。预防霉菌污染可在培养基里加两性霉素或制霉菌素或放线菌素 D。
但无论是哪种污染, 一旦发生,很难完全去除细胞中的微生物污染,预防永远大于善后!
支原体污染
支原体污染可以改变细胞的特性,影响实验结果,导致实验结论不可靠。支原体是最小的独立生存生物,不能用可见光显微镜进行肉眼检查,因此可以在细胞培养物中长时间不被发现。它会诱导细胞参数的改变 (例如,染色体畸变,代谢和细胞生长的变化),导致不可靠的实验结果 (如下图红外显微镜下,DBTRG 细胞被支原体感染24小时候的形态变化)。

图 5. 细胞系中支原体污染后细胞形态的变化
支原体的污染可以通过专项检测,例如 PCR 或 DNA 荧光染色来检测这类污染。

图 6. 细胞系中支原体状态的 PCR 分析
MCE 小贴士:
支原体污染细胞后,由于支原体体积很小,无法通过过滤的办法去除。如果不是极其难得的细胞,建议还是扔了吧。如果还想救一救,需要注意的是支原体没有细胞壁,因此对作用于细胞壁合成的抗生素是不敏感的。四环素类和大环内酯类抗生素对支原体有很好的抑制活性。
支原体清除试剂 BM-Cyclin 有效抑制和清除在细胞培养中广泛存在的支原体污染,包括口腔支原体 Mycoplasma orale、精氨酸支原体 Mycoplasma arginini、猪鼻支原体 Mycoplasma hyorhinis 等,从而挽救受到污染的珍贵细胞。
介绍完细胞培养常见污染种类之后,大家是不是有了一个初步概念了呢?但是,还有一种情况,从 “照骗” 来看, 妥妥的药物析出
药物结晶析出
由于很多小分子水溶性不好,常用有机溶剂,如 DMSO 配制母液,再稀释到培养基孵育细胞。稀释的过程中由于产品溶解性、温度、浓度等因素的影响,很容易出现药物析出,在显微镜下观察:一般会呈现出针状,雪花状或者点状结晶。有些童鞋就一不小心误认为是真菌菌丝了。

图 7. 小分子药物在培养基中结晶析出
MCE 小贴士:
为避免药物析出,稀释前,可将母液和培养基 37℃ 预热,避免温度低造成严重析出。若稀释过程中出现化合物析出的情况, 可采用超声加热的方法使其复溶。
现在大家是不是能很好的区分药物析出和细胞污染及其种类了呢?以后遇到镜下观察有 “污染”,不要直接 “弃疗”,先判断一下是否为药物析出,兴许还有救~
相关产品
支原体清除试剂 BM-Cyclin
主要成分为延胡索酸泰妙菌素 (Tiamulin fumarate) 和盐酸米诺环素 (Minocycline hydrochloride),可在不影响细胞状态的前提下,有效抑制和清除在细胞培养中广泛存在的支原体污染,对于常见的革兰氏阴性和阳性菌也有一定的清除作用。
青霉/链霉素双抗溶液
已过滤除菌,可直接用于细胞培养的双抗溶液。产品添加到细胞培养液中, 可有 效抑制多数革兰氏阳性菌和革兰氏阴性菌的生长,从而有效控制细胞污染。青霉素-链霉素溶液 (100×) 中,含有青霉素 G 钠盐 10 KU/mL,硫酸链霉素 10 mg/mL。
两性霉素 B 无菌溶液
一种多烯类抗真菌抗生素, 破坏真菌正常代谢并引起死亡,从而用于抑制真菌和酵母的污染。
庆大霉素无菌溶液
庆大霉素通过与细菌核糖 体 30S 亚基结合阻断细菌蛋白质的合成,可有效抑制多数革兰氏阳性菌和 革兰氏阴性菌的生长。 细胞培养液中,庆大霉素的推荐工作浓度为 0.5-50 μg/mL。
抗生素-抗真菌素溶液
含青霉素 (10 KU/mL)、链霉素 (10 mg/mL)、两性霉素 B (25 μg/mL)。青霉素-链霉素可有效抑制多数革兰氏阳性菌和革兰氏阴性菌的生长,两性霉素 B 可用于抑制真菌、酵母的污染。
潮霉素 B 无菌溶液
氨基糖苷类抗生素,主要通过干扰 70 S 核糖体易位和诱导对 mRNA 模板的错读而抑制细胞蛋白质的正常合成,从而导致细菌、真菌和哺乳动物细胞死亡。
MCE 的所有产品仅用作科学研究或药证申报,我们不为任何个人用途提供产品和服务

2023-04-20
MCE小分子

