ADP/ATP转位酶驱使线粒体自噬
近日,厦门大学 Wei-jia Wang 教授联合宾夕法尼亚大学 Zoltan Arany 的团队在 Nature 杂志上发表了题为"The ADP/ATP translocase drivesmitophagy independent of nucleotide exchange" 的研究成果,首次阐述了腺苷转运蛋白 ANT (Adenine Nucleotide Translocator) 对线粒体自噬的重要作用。
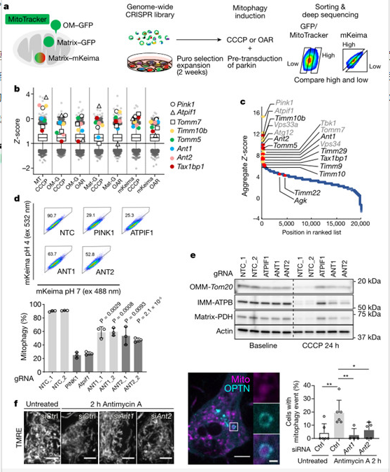
研究团队通过多维 CRISPR-Cas9 基因筛选,用多个线粒体自噬报告系统和促线粒体自噬触发物,鉴定了多个 parkin 依赖线粒体自噬成分。并意外地发现,在多种细胞类型中 ANT 复合体对线粒体自噬是不可或缺的。在体外,药理抑制 ANT 介导的 ADP/ATP 交换作用促进线粒体自噬,然而,ANT 基因切除却反常地抑制自噬。重要的是,ANT 促进线粒体自噬并不依赖于其核苷酸转移酶的催化活性。需要 ANT 复合物抑制前序列转移酶 TIM23,从而维持 PINK1 稳定,响应生物能量崩溃,其中,ANT通过与 TIM44 相互作用间接调节 TIM23,调控是通过 TIM23 调节肽导入。在体内,缺少 ANT1 小鼠表现出线粒体自噬钝化,从而导致线粒体异常积累。疾病导致的人类 ANT1 突变使其不能结合 TIM23,并抑制线粒体自噬。总之,ANT 是线粒体自噬最本质和基础的调节因子。
多维度的 CRISPR-Cas9 基因筛选
在主要自噬途径, PINK1 积聚在损伤的线粒体,募集 E3 泛素连接酶 Parkin 靶向线粒体导致自噬。将稳定过表达 Parkin 的几种小鼠成肌细胞分别暴露于两个应激源—— 膜电位解偶联剂 CCCP (购于 MedChemExpress) 或抑制氧化磷酸化的 OAR 试剂盒,进行多维 CRISPR–Cas9 全基因组筛选,最后发现:在多种细胞系中,Parkin 介导的线粒体自噬需要 ANT。

图 1. 多维分析显示线粒体自噬需要 ANT
ANT 促进细胞吞噬不依赖于ADP / ATP交换活性
ANT 位于线粒体内膜上,介导 ADP 和 ATP 的跨膜交换,向线粒体 ATPase 提供 ADP 。药理性抑制 ADP / ATP 的交换作用加剧了线粒体自噬。然而,尽管 Ant1 或Ant2 基因的缺失加剧 CCCP 诱导的膜极化,却反常地抑制了线粒体自噬,因此,ANT 是通过其他机制抑制了线粒体自噬。ADP/ATP 交换相关突变 Ant1 (K43E/R244E) 能有效挽救线粒体自噬,保留 ADP/ATP 交换的疾病突变体 Ant1 (A90D),ANT1 (A123D) 不起作用。因此,ANT 促进线粒体自噬不依赖于ADP/ATP 交换活性。
ANT 的缺失抑制 PINK1 依赖的氧化应激以及氧化磷酸化毒性引起的线粒体自噬,表明 ANT 在 PINK1 的上游起作用。正常情况下,PINK1 会被胞质蛋白酶体组成型降解。但当线粒体受损后,TIM23 介导的转运被抑制,使 PINK1 逃逸降解,并将 Parkin 募集到线粒体。ANT1 或者 ANT2 缺失时,CCCP 不能诱导 PINK1 保持稳态,而野生型、K43E/R244E 突变型的 ANT1 维持 PINK 的稳态。相比之下,CCCP 触发的 TIM23 介导的蛋白易位到基质中的抑制和 Su9-DHFR 前体的裂解减弱,表明 ANT1 或 ANT2 是抑制 TIM23 所必需。此外,ANT1 和 ANT2,ANT1(K43E/R244E) 都能与 TIM23 的相互作用,且 ANT1 (K43E/R244E) 还能抑制 TIM23,但 ANT1(A90D) 和 ANT1(A123D) 均不能。综上,ANT 通过与 TIM23 相互作用,抑制 TIM23 转录酶响应生物能崩溃,与 TIM23 作为 ADP/ATP 交换载体的活性无关。
ANT 通过 TIM44 介导 TIM23 的抑制
TIM44 是 TIM23 复合物的基质侧组分,其控制多肽跨 TIM23 的转运。TIM44 敲除结果表明 TIM44 可能介导 TIM23-ANT1 的相互作用。TIM44 的丢失使线粒体吞噬和 PINK1 积累都变钝。ANT1 (G146E/K147D) 不能在缺少 ANT1 的细胞中挽救线粒体自噬,但致病突变体 ANT1(A90D)也破坏了与 TIM44 的相互作用。相反, TIM44 (K282D) 尽管保留了与 TIM23 自身结合的能力,但无法挽救缺少 TIM44 的细胞的线粒体自噬。综上数据表明,ANT1 与 TIM23 介导的蛋白质转运调节因子 TIM44 相互作用,而 ANT1 与 TIM44 的相互作用是 ANT1-TIM23 相互作用、抑制 TIM23 介导的蛋白质转运以应对生物能量崩溃和促进有丝分裂的必要条件。

图 2. ANT 通过 TIM44 介导 TIM23 的抑制
体内线粒体自噬依赖 ANT1
Ant1 缺失小鼠 (Ant1KO mice) 的大脑和心脏线粒体自噬减弱,无论在转录组水平相同或者更高的情况下,PINK1 和 Pakin 的积累都比控制组显著减少。观察发现,Ant1KO 小鼠的骨骼肌发生线粒体自噬严重缺陷。轻度肌肉疾病导致丧失 ADP/ATP 交换能力的患者,能通过重新表达野生型 Ant1 或者是 K33Q 缺陷 Ant1 都能恢复线粒体自噬,然而重度疾病 ADP/ATP 交换正常患者中表达 ANT1 (A90D) 仍不能恢复自噬,这与 Ant1KO 小鼠线粒体和线粒体 DNA 的堆积结果一致。值得注意的是,核编码的线粒体基因并未受到影响。缺乏 ANT1 引起了线粒体自噬功能丧失,在一名携带 ANT1 纯合功能缺失突变患者的临床症状以及线粒体观察中得到验证。

图 3. 体内线粒体自噬需要 ANT1
相关推荐:
CCCP 是氧化磷酸化解偶联剂。CCCP 诱导 PINK1 激活,促进 Parkin 在 Ser65 位点磷酸化。

2019-12-17
MCE小分子

